400+ 5-Star Reviews
Same-Day Availability
100+ 5-Star Reviews
Specialized Carefor Gum Disease
If you’ve been dealing with bleeding or painful gums or persistent bad breath, it may be time to seek periodontal disease treatment in Mesa, AZ. Gum disease treatment is essential for protecting your oral health, and at Dental Brothers we understand that gum disease is one of the most common oral health issues adults face. When left untreated, it can lead to serious consequences for your oral and overall health. Don’t wait to seek treatment for gum issues: contact the team at Dental Brothers to get started with a personalized treatment plan today.
Why Choose Dental BrothersFor Gum Disease Treatment in Mesa, AZ?
At Dental Brothers, we know that treating gum disease requires clinical expertise and a commitment to patient education to result in long-term success. When you choose the Dental Brothers team, you can count on:
- Early detection and intervention through thorough examinations that identify gum disease in its earliest stages, when treatment is simplest and most effective.
- Multiple treatment options are available to address gum disease at every stage, from non-surgical approaches to advanced procedures for severe cases.
- Experienced dental team trained in the latest periodontal treatment techniques, committed to delivering results that preserve your natural teeth and restore gum health.
- Personalized care plans developed specifically for your situation, taking into account the severity of your condition and your overall health needs.
- Ongoing support and maintenance to help you maintain healthy gums post-treatment.
What isGum Disease?
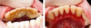
Gum disease is an infection of the gums, the tissues that surround and support your teeth. It is caused by the bacteria found in plaque, the sticky film that forms on your teeth. The bacteria in plaque and tartar, which is hardened plaque, produce toxins that can irritate the gums and cause inflammation. In its early stage, called gingivitis, gums can become red and swollen and may bleed easily during flossing and brushing. During gingivitis, it can be reversed through improved oral hygiene and professional cleaning. If left untreated, it will advance into periodontitis, where the inflammation extends below the gum line and begins to form spaces below the teeth, which become infected. Gum disease can be very common, but it is largely preventable and can be treated when caught early enough.
4 Stages ofPeriodontal Disease
Gingivitis
Gingivitis is the earliest form of gum disease. At this stage, gums become red, swollen, and tender, and they may bleed when you brush or floss. You might also notice bad breath that doesn’t go away with regular oral care. With professional cleaning to remove plaque and tartar, along with improved hygiene habits at home, gingivitis can be completely reversed.
Mild Periodontitis
If gingivitis progresses untreated, it can advance to mild periodontitis. At this stage, the infection has spread below the gum line, and gums begin to pull away from teeth, forming small pockets where bacteria can build up. These pockets become difficult to clean with regular brushing and flossing. At this stage, professional treatment is necessary to prevent further damage, though with appropriate care, progression can be halted.
Moderate Periodontitis
Moderate periodontitis involves deeper infection and more significant bone loss. Pockets between gums and teeth deepen, allowing even more bacteria to accumulate beneath the gum line. The bone supporting your teeth continues to deteriorate, and you may begin to notice that your teeth feel slightly loose or that your bite has changed. Gums may recede noticeably, making teeth appear longer. Bleeding and discomfort increase, and you may experience persistent bad breath or a bad taste in your mouth.
Advanced Periodontitis
Advanced periodontitis is the most severe form of gum disease. The pockets deepen even more, and significant bone loss occurs, severely compromising the structures that hold teeth in place. Teeth may become noticeably loose, shift position, or even fall out. Gums may recede substantially, and you might notice pus between teeth and gums. Chewing can become painful, and bad breath is often severe.
Periodontal Gum DiseaseTreatments
Dental Cleaning and Improved Oral Hygiene
For gingivitis and very early periodontitis, a professional cleaning combined with improved home care may be sufficient to restore gum health. During a professional cleaning, a dental hygienist removes plaque and tartar from above and below the gum line. Regular dental cleanings, typically every six months or more frequently if recommended, help prevent gum disease from developing or returning.
Scaling and Root Planing
Scaling and root planing is a deep-cleaning procedure used to treat mild to moderate periodontitis. During scaling, your dentist removes plaque and tartar from above and below the gum line, reaching into the pockets that have formed between gums and teeth. Root planing smooths the root surfaces, removing bacterial toxins and making it harder for bacteria to accumulate in the future. This smoothing also helps gums reattach to teeth. While this treatment may sound intimidating, it is typically performed under local anesthetic to avoid discomfort and help you receive the essential treatment to improve your oral health.
Pocket Reduction Surgery
When periodontal pockets are too deep to clean effectively with scaling and root planing, pocket reduction surgery may be necessary. During this procedure, your Mesa, AZ dentist makes small incisions in your gums to fold back the gum tissue, exposing the roots of your teeth for more effective scaling and root planing. After cleaning, the gums are sutured back in place to fit more snugly around your teeth, reducing pocket depth and making it easier to keep the area clean. This procedure helps prevent further bone loss and gives you a better chance of keeping your natural teeth.
LANAP (Laser-Assisted New Attachment Procedure)
LANAP is a minimally invasive laser treatment for moderate to advanced periodontitis. Instead of using scalpels and sutures like traditional surgery, LANAP uses a specialized laser to remove diseased tissue and bacteria from periodontal pockets while leaving healthy tissue intact. This advanced treatment option can be highly effective for patients who want to avoid more invasive surgical procedures.
Bone or Gum Grafting
When periodontitis has caused significant bone or gum tissue loss, grafting procedures may be necessary to restore these structures and improve both function and appearance. Bone grafting involves placing natural or synthetic bone material in areas where bone has been lost, encouraging new bone growth and providing better support for teeth. Gum grafting takes tissue from another area of your mouth (usually the palate) or uses donor tissue to cover exposed tooth roots, reducing sensitivity and preventing further recession. These procedures can also improve the appearance of your smile by creating a more even gum line.
Mesa Gum Disease TreatmentFAQs
What Is the Most Effective Treatment for Gum Disease?
The most effective treatment depends on the stage and severity of your gum disease. A professional cleaning is extremely effective for gingivitis, while scaling and root planing is considered the best treatment option for more advanced stages. The sooner gum disease is detected, the more successful treatment options will be.
Is Gum Disease Treatment Covered by Dental Insurance?
Most dental insurance plans provide coverage for gum disease treatment. Preventative treatments, like cleanings, are covered at 100%, while scaling and root planing may be covered at 60 to 80%. Your dental office can help by providing detailed treatment plans and working with your insurance company to maximize your benefits.
Can You Live a Long Life With Gum Disease?
While living with periodontal disease presents challenges, research has shown that with proper management and treatment, people can maintain their quality of life and overall health.
Book an AppointmentFor Periodontal Disease Treatment
in Mesa, Arizona
Gum disease can have a major impact on your smile and your overall health. If you have been dealing with periodontitis, now is the time to seek treatment. Contact Dental Brothers today to get started.













